Челябинск Марченко, 13 А
Наш телефон +7 (351) 729-91-61
Мы открыты:
Понедельник - Пятница: 9:00 - 20:00
Cуббота: 9:00 - 16:00

Наши работы

Имплантация зубов

Проблема

Выраженная частичная адентия (отсутствие нескольких зубов), разрушение оставшихся зубов, нарушение жевательной функции и эстетики улыбки.

Решение

Удалены оставшиеся разрушенные зубы. Проведена имплантация и установлена фиксированная ортопедическая конструкция (протез на 6-ти имплантах), восстановлены эстетика улыбки и комфорт при жевании.

Гигиена полости рта

Проблема

Пациент обратился с проблемой зубного налета и образование зубного камня на верхних и нижних передних зубах, неприятный запах изо рта, покраснения и болезненные ощущения на деснах.

Решение

Проведена профессиональная гигиена полости рта (AirFlow). Удален зубной камень и налет. Проведено воздействие ультразвуком на область дёсен аппаратом Vector, обе челюсти.

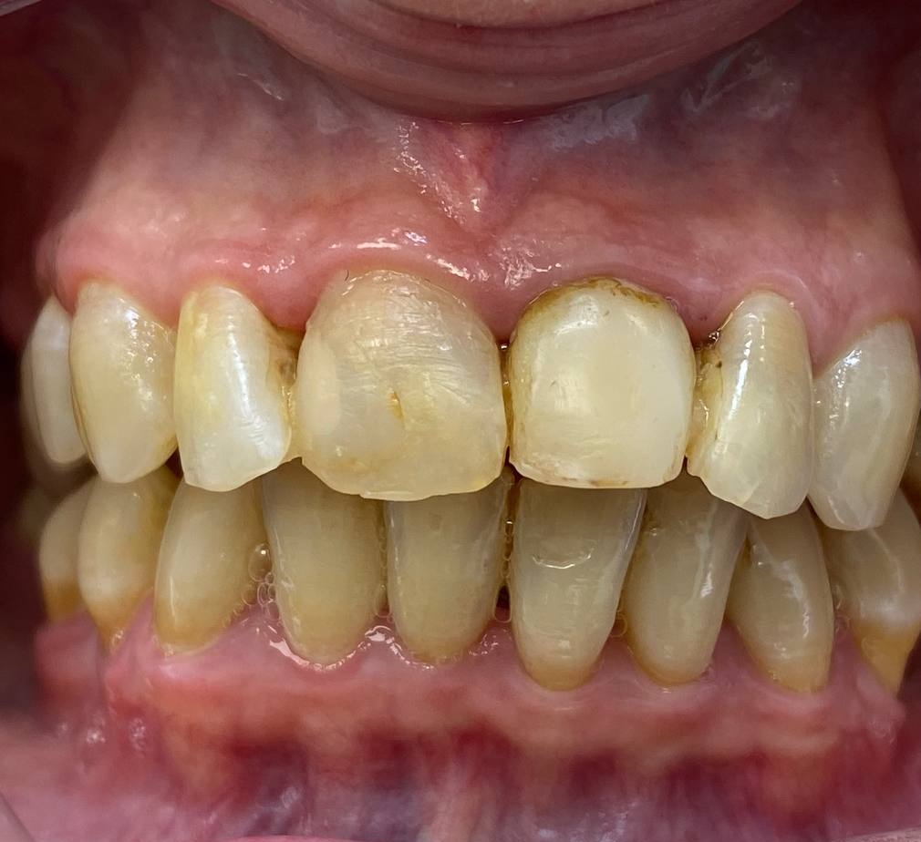
Протезирование

Проблема

У пациента отмечалось опущение десны, выраженный налёт и эстетически неудовлетворительный вид верхних передних зубов.

Решение

После лечения: Установлены 4 коронки на передние верхние зубы, выполнено поднятие десны — улыбка стала более ровной, светлой и аккуратной.

Гигиена полости рта

Проблема

У пациента выраженные зубные отложения и пигментированный налёт, особенно в области нижних и верхних передних зубов, с воспалённым краем десны.

Решение

Проведена профессиональная гигиена полости рта — налёт и камень удалены, зубы стали заметно чище и светлее, состояние десны улучшилось.