Челябинск Марченко, 13 А
Наш телефон +7 (351) 729-91-61
Мы открыты:
Понедельник - Пятница: 9:00 - 20:00
Cуббота: 9:00 - 16:00

Наши работы

Лечение пульпита

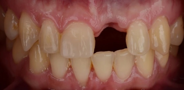
Проблема

Пациент обратился в клинику с проблемой отсутствия переднего зуба в следствии полученной травмы.

Решение

Пациенту проведено комплексное лечение по поводу восстановления переднего зуба при помощи имплантата Super Line и цельнокерамической коронки.

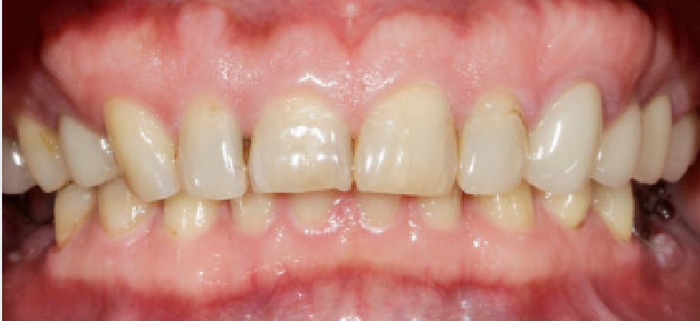
Лечение пульпита

Проблема

Пациент обратился в клинику с постоянными ноющими болями усиливающимися при накусывании.

Решение

В нескольких клиниках было предложено удаление данного зуба. В нашей клинике такие зубы лечат. Пациенту было проведено эндодонтическое лечение данного зуба. Результат положительный, идет восстановление костной ткани.

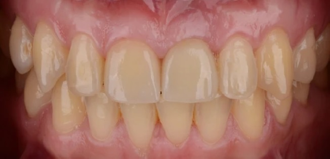
Лечение десен

Проблема

Пациент обратился в клинику с постоянными ноющими самопроизвольными болями в зубе, усиливающиеся при накусывании, отечность тканей в области причинного зуба. После детального обследования были обнаружены значительные очаги воспаления на корнях зуба.

Решение

Пациенту было проведено эндодонтическое лечение данного зуба. В результате лечения наблюдаем восстановление костной ткани, окружающей зуб.

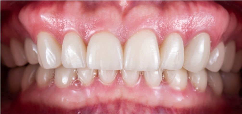
Протезирование

Проблема

Пациент обратился с жалобами на эстетическую неудовлетворенность передней группой зубов. Были изготовлены и установлены виниры E-MAX на передних зубах верхней и нижней челюсти.

Решение

Проделана следующая работа: установка керамических виниров повышенной эстетики E-MAX на передних зубах верхней и нижней челюсти.