Челябинск Марченко, 13 А
Наш телефон +7 (351) 729-91-61
Мы открыты:
Понедельник - Пятница: 9:00 - 20:00
Cуббота: 9:00 - 16:00

Наши работы

Лечение десен

Проблема

Дёсны ярко-красные, отёчные, контур «расплывчатый», межзубные сосочки увеличены; присутствуют налёт/камень и кровоточивость при чистке.

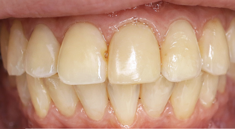
Решение

После неинвазивной пародонтологической обработки аппаратом Vector ткани выглядят спокойнее: дёсны более бледно-розовые, отёк и покраснение уменьшаются, край становится ровнее, поверхность зубов чище (меньше отложений и биоплёнки).