Челябинск Марченко, 13 А
Наш телефон +7 (351) 729-91-61
Мы открыты:
Понедельник - Пятница: 9:00 - 20:00
Cуббота: 9:00 - 16:00

Лечение кариеса

Цены на лечение кариеса
АНЕСТЕЗИЯ
Аппликационная анестезия
250 ₽
Инфильтрационная, проводниковая анестезия (Артикаин)
800 ₽
Инфильтрационная, проводниковая анестезия (Ультракаин)
900 ₽
ЛЕЧЕНИЕ КАРИЕСА
Поверхностный кариес (инструментальная и медикаментозная обработка кариозной полости)
1 650 ₽
Средний кариес (инструментальная и медикаментозная обработка кариозной полости)
2 750 ₽
Глубокий кариес (инструментальная и медикаментозная обработка кариозной полости)
3 700 ₽
Кариес депульпированного зуба
2 800 ₽
Снятие старой пломбы, коронки, трепанация зуба
600 ₽
Наложение временной пломбы
500 ₽
Восстановление зуба пломбой "Витример"
1 800 ₽
Восстановление зуба пломбой при разрушении зуба более 1/2 фотополимером
9 000 ₽

* Окончательную стоимость стоматологической услуги можно определить только после полной диагностики и консультации специалиста.

ЛЕЧЕНИЕ ЗУБОВ В ЧЕЛЯБИНСКЕ

Кариес – это самая распространенная болезнь, главной причиной которой является размножение микробов и бактерий, повреждающих зубную ткань. Лечить кариес нужно своевременно, пока он не перешел в пульпит, периодонтит, периостит или другое опасное осложнение.

Благодаря опыту специалистов клиники Колибри Дент, за один прием восстановим Ваш зуб инновационными материалами с помощью современного оборудования.

Лечение кариеса в нашей клинике вернет Вашим зубам здоровье и сделает Вашу улыбку по-настоящему счастливой.

Что такое кариес?

Это заболевание, при котором разрушаются зубная эмаль и дентин. Зуб повреждается в результате жизнедеятельности бактерий, живущих в полости рта. Бактерии разлагают остатки пищи и при этом выделяют органические кислоты, которые накапливаются в зубном налете и разрушают минеральную основу зуба.

Причины возникновения кариеса:

Какие симптомы кариеса:

Этапы лечения кариеса:

Начальный кариес — стадия пятна. Оттенок зуба в этом месте сначала белый, затем желтоватый, а позднее светло-коричневый. Начав лечение кариеса на этой стадии, с заболеванием в большинстве случаев удается справиться быстро и безболезненно.

Поверхностный кариес — на данной стадии начинается процесс разрушения эмали. Поверхностный кариес отличается тем, что на эмали образуются хорошо видимые углубления или пустоты, возникает некоторая чувствительность к низким и высоким температурам употребляемой пищи или жидкости. При лечении кариеса в его поверхностной стадии применяется комплекс методов.

Средний кариес — происходит поражение дентина. На этом этапе формируется полость. Увеличиваются частота и интенсивность болевых ощущений. При лечении кариеса на данной стадии повреждённая часть зуба удаляется, после чего устанавливается пломба.

Глубокий кариес — Завершающая стадия болезни вызывает поражение дентина, который окружает пульпу, возникают усиливающиеся, долгие болезненные ощущения. Кариозная полость увеличивается до очень большого размера. Лечение характеризуется значительной сложностью и может потребоваться не один визит к врачу.

Лечение зубов от кариеса проходит быстро и безболезненно. Стоимость и длительность процедуры зависит от сложности и степени поражения зуба.

Огромный опыт терапевтов-стоматологов Колибри Дент и доброжелательное отношение к пациентам врачей и персонала клиники – делают безболезненным и безопасным каждый этап лечения кариеса.

Колибри Дент

Это команда профессионалов — ваш ключ к здоровой и красивой улыбке:
Стоматолог - хирург - ортопед
ФОМЕНКО ВАЛЕРИЙ ПАВЛОВИЧ
Стоматолог - терапевт
БОГАТОВА ОЛЕСЯ СЕРГЕЕВНА
Стоматолог - имплантолог
ТИМЧЕНКО АЛИНА АЛЕКСАНДРОВНА

Хотите вылечить зубы в Челябинске?

Поставить зубной имплант или зубной протез, сделать гигиену полости рта, беспокоят десна?

Это к нам!

В стоматологической клинике «Колибри Дент» работают врачи высшей категории, хирурги-имплантологи, ортопеды, терапевты, пародонтологи с опытом более 20 лет. Наши специалисты регулярно повышают квалификацию в России и за рубежом, осваивая передовые методики:

- цифровая стоматология, лечение с применением 3D-диагностики,

- безболезненная имплантация, включая одномоментные протоколы и работу с премиальными системами,

- эстетическая реставрация зубов.

Почему пациенты выбирают нас?

Опыт – более пяти тысяч успешных случаев сложного лечения.

Технологии – новейшее европейское оборудование.

Гарантии – официальные договоры, фиксированные цены с гарантией результата.

Комфорт – безболезненное лечение, индивидуальные планы и рассрочка.

Доверьте улыбку тем, кто действительно разбирается в стоматологии!

Запишитесь на консультацию –

подберем решение именно для вашего случая.

Довольные клиенты

Глеб Попков2025-07-30
Приятный персонал, качественные медицинские услуги. Спасибо! Прийду еще!
Колибри Дент, стоматологическ...2025-08-05, официальный ответ
Глеб, благодарим за отзыв! Приходите, очень рады Вам!
Валерий2025-06-21
Очень уютная клиника, приятный доброжелательный персонал.Компетентные врачи.Лояльные цены.
Колибри Дент, стоматологическ...2025-07-04, официальный ответ
Валерий, благодарим за отзыв!
Константин Юдин2025-05-22
Лечу зубы в этой клинике уже давно! Врач Олеся Сергеевна профессионал своего дела! Все доступно объясняет, лечит хорошо и безболезненно! Админы доброжелательные вежливые и внимательные! Всем рекомендую!!!
Колибри Дент, стоматологическ...2025-05-25, официальный ответ
Константин, очень признательны за доверие к нам! Благодарим за отзыв!
Алекса2025-05-13
Хорошая клиника! Все понравилось! Врачи от бога, с золотыми руками! Девочки админы тоже молодцы, приветливые и доброжелательные! Всем рекомендую!
Колибри Дент, стоматологическ...2025-05-16, официальный ответ
Алекса, благодарим за отзыв! Рады помочь!
Татьяна Сомова2025-05-12
В данную клинику обратилась недавно, лечили кариес. Персонал очень вежливый, врачи - специалисты своего дела! Цены приемлемые, теперь лечить зубы только здесь! Всем рекомендую! 5 звезд
Колибри Дент, стоматологическ...2025-05-16, официальный ответ
Татьяна, очень приятно слышать такие слова о наших специалистах. Благодарим за отзыв!
Иван Бахарев2025-04-22
Всем рекомендую, только положительные впечатления, особенно если в других стоматологих говорят -удаляйте, то тут восстанавливают и сохраняют зубы!
Колибри Дент, стоматологическ...2025-04-29, официальный ответ
Евгений, благодарим за отзыв и за то, что поделились положительными впечатлениями!
Иван К.2025-04-21
Ходил на гигиену полости рта и лечил зуб,все отлично.всем рекомендую .по ценам -демократично.спасибо
Колибри Дент, стоматологическ...2025-04-29, официальный ответ
Иван! Благодарим за отзыв! Всегда Вам рады!
Адексей2025-04-16
Понравилось обслуживание, хочу оценить высокий уровень ! Все чисто , как в операционной.
Колибри Дент, стоматологическ...2025-04-22, официальный ответ
Алексей, благодарим за отзыв!
Денис Ахметшин2025-04-16
Все понравилось, пришел на первичный приём, консультацию , все устроило. Скоро вернусь, ставлю 5 звёзд
Колибри Дент, стоматологическ...2025-04-29, официальный ответ
Денис, благодарим за высокую оценку!
Фанис А.2025-04-16
Хотелось бы поблагодарить администратора , врача Олесю Сергеевну, за профессионализм! Теперь ходить буду только к вам.
Колибри Дент, стоматологическ...2025-04-29, официальный ответ
Фанис, нам очень приятно! Благодарим за отзыв!
Наталья Булкова2025-04-16
Шла в эту клинику по совету подруги к определенному врачу, Богатовой Олесе Сергеевне, оказалось не зря. Всё четко, по делу, осмотр и гигиена рта прошли идеально! Продолжать лечение буду только здесь.
Колибри Дент, стоматологическ...2025-04-29, официальный ответ
Наталья, благодарим за отзыв и высокую оценку нашей работы!
Аннушка2025-04-12
Девочки, доктор Олеся Сергеевна и ассистент София! Спасибо Вам большое за заботу о пациентах и ваш профессионализм. Вы молодцы! Очень понравилось ваше отношение, очень довольна качеством лечения, очень хорошая уютная клиника И девочки администраторы молодцы, вежливые добрые и приветливые!! Буду всем всем вас рекомендовать!!!
Колибри Дент, стоматологическ...2025-04-17, официальный ответ
Благодарим за отзыв, нам очень приятно!
Alexander2025-03-10
Впечатление остались очень хорошие о клинике и персонале. Особенно благодарен стоматологу - терапевту Богатовой Олесе Сергеевне! Профессионал своего дела! Всем рекомендую эту клинику.
Колибри Дент, стоматологическ...2025-03-20, официальный ответ
Александр, благодарим за положительные впечатления о нас!)
Александр Саблин2025-02-27
Обратился в клинику, делал гигиену. Очень понравилось, вежливый и приветливый персонал, врач Олеся Сергеевна профессионал своего дела, рекомендую всем!!!
Колибри Дент, стоматологическ...2025-03-20, официальный ответ
Александр, благодарим за отзыв!
Дарья Ениуеева2025-02-26
Выбрала эту клинику по совету родных, и очень рада. Помогли отпустить страх похода к стоматологу, все лечение проходит безболезненно, гигиену сделали настолько деликатно с моей чувствительностью зубов и дёсен, все объяснили и расставили по полочкам. Отдельное огромное спасибо Богатовой Олесе Сергеевне и Елизавете Александровне за мои наконец-то здоровые зубы, за которые теперь можно не переживать!
Колибри Дент, стоматологическ...2025-02-27, официальный ответ
Дарья, благодарим вас за теплые слова!
Вася Ли2025-02-24
Пришел я в клинику по рекомендации коллеги по работе, у них вся семья лечится у вас уже давно и я решил! Хочу сказать огромное спасибо, очень внимательному доктору Олесе Сергеевне! Лечит быстро, классно, качественно и не больно???? и цены тут приемлемые! В клинике красиво, чисто, девочки администраторы приветливые и доброжелательные, все понравилось все хорошо! Всем рекомендую клинику Колибри Дент!!!
Колибри Дент, стоматологическ...2025-03-02, официальный ответ
Спасибо за ваш отзыв!
Елена Баженова2025-02-14
Огромное спасибо Кожиной Софии за отличную гигиену! Все зубы чистые, блестят, гладкие.
Колибри Дент, стоматологическ...2025-02-16, официальный ответ
Елена! Спасибо вам за отзыв! София Леонидовна очень добросовестный и внимательный сотрудник, делает все, чтобы Вы ушли в хорошем настроении и с блестящей улыбкой!
Кристина Великанова2025-02-14
Хорошая стоматология, персонал вежливый и очень доброжелательный, чистота, красота. Была на консультации у Олеси Сергеевны все подробно объяснила рассказала и показала. Приду лечиться.
Колибри Дент, стоматологическ...2025-03-02, официальный ответ
Кристина, благодарим за отзыв. Будем рады видеть Вас!
Александр Баторин2025-01-13
Самый лучший хирург Алина Александровна!!! Всем рекомендую!!!
Колибри Дент, стоматологическ...2025-01-16, официальный ответ
Александр, благодарим за отзыв! Мы работаем для вас!
Сергей Олейников2025-01-06
Супер стоматология. Соотношение цена - качество. Работают по записи. Внутри всё современное, новое, есть свой рентген. Доктора внимательные, боли нет. Из минусов - не берутся за детские рты.
Колибри Дент, стоматологическ...2025-01-13, официальный ответ
Сергей, благодарим за отзыв и Ваш краткий обзор клиники!) По деткам да, не лечим, только взрослый прием.
Лариса Цокарева2024-12-31
С благодарностью пишу отзыв об этой стоматологической клинике! Хочу подчеркнуть высокий профессионализм всех врачей, учитывая сложную, неординарную ситуацию по удалению кисты.. Внимательный подход всего персонала оставил чувство большой благодарности!.. Проблемы с зубами это всегда страх.. здесь же ты спокоен и уверен, что тебе помогут честно и профессионально.. Особенно хочу поблагодарить Павла Александровича и Олесю Сергеевну!
Колибри Дент, стоматологическ...2025-01-02, официальный ответ
Лариса, благодарим Вас за отзыв!
Андрей Моргунов2024-12-26
Огромное спасибо Олесе Сергеевне за ваш труд! Очень внимательная! Все лечение прошло быстро и безболезненно! Результатом доволен! В клинике чисто, уютно и комфортно! Приветливый и вежливый персонал! Всем рекомендую!
Колибри Дент, стоматологическ...2024-12-28, официальный ответ
Андрей, благодарим за отзыв! Очень приятно слышать такие слова в адрес наших сотрудников!
Наталья Бадердинова2024-12-18
Внимательное отношение, профессиональное лечение, подробное и понятное объяснение плана лечения. Огромное спасибо Олесе Сергеевне, ассистентам Софье, Елизавете и администратору Ксении за внимательность и профессионализм.
Колибри Дент, стоматологическ...2024-12-23, официальный ответ
Наталья, нам очень приятно слышать такие слова от наших дорогих пациентов! Благодарим Вас за отзыв!
Хина Сан2024-12-16
Выбрала эту клинику потому что самый плохой отзыв был о том что задержали прием. Выбрала и не прогадала, лечат замечательно и цены не выше среднего. А лучше стоматолога Олеси Сергеевны наверное в моей жизни уже не будет, приходишь на прием без какого либо страха и ощущения что может быть неприятно. Советую
Колибри Дент, стоматологическ...2025-01-02, официальный ответ
Хина! Спасибо вам, что выбрали нас. Приходите к нам ещё!
Ирина Ротанина2024-12-12
Проходила лечение в данной клинике. Отличное место, отличный персонал. Врач Олеся Сергеевна профессионал своего дела, ювелир)). Спасибо огромное за работу, за внимание, за красивую улыбку. Желаю побольше благодарных клиентов.
Колибри Дент, стоматологическ...2024-12-14, официальный ответ
Ирина! Благодарим за отзыв и спасибо за пожелание!
Я Я2024-12-02
Хочу выразить благодарность Олесе Сергеевне и всему персоналу!!! Профессиональное, внимательное лечение, особенно с моей проблемой в суставе, очень приятно, что Олеся Сергеевна все объясняет доступным языком! Спасибо вам большое!!!
Колибри Дент, стоматологическ...2024-12-10, официальный ответ
Ирина, благодарим за отзыв! Работаем для Вас!
Лариса Мирзоева2024-11-28
Супер стоматология врачи замечательные большое спасибо Богатовой Олесе Сергеевне так же большая благодарность Воротникову Павлу Александровичу всему персоналу за терпения и труд ну конечно девочек на ресепшене вежливые чуткие удачи Вам конечно всём рекомендую цены приемлемые качества на Высоте! С уважением Мирзоева с красивой улыбкой для Вас
Колибри Дент, стоматологическ...2024-11-29, официальный ответ
Лариса! Благодарим за такой открытый и позитивный отзыв о нас и наших сотрудниках! Работаем для Вас!
Лариса2024-11-27
Хочу выразить слова искренней благодарности врачу Богатовой Олесе Сергеевне и медсестре Елизавете Александровне. Все назначенные процедуры были безболезненны. Олеся Сергеевна и Елизавета Александровна объясняли мне, что делают. Спасибо администратору Ольге. Желаю процветания вашей клинике!
Колибри Дент, стоматологическ...2024-11-28, официальный ответ
Лариса! Спасибо за добрые слова о нашей работе! Рады были вам помочь!
Татьяна Голубкова2024-11-24
Замечательная стоматология, особенно хочу отметить ассистента Соню, очень чуткая, внимательная к пациентам. Вежливый персонал, приятная атмосфера. В клинике чисто. Обязательно приду сюда еще раз
Колибри Дент, стоматологическ...2024-12-24, официальный ответ
Татьяна! Спасибо большое за ваш отзыв и оценку.
Елена К.2024-11-02
В данной стоматологии была дважды на удалении зубов. Первый раз было экстренное удаление, т.к. уже сильно болел зуб, приняли на прием в день звонка, за что огромное спасибо! Второй раз удаляли планово. Всё сделали хорошо, десна отлично зажили. Буду обращаться ещё.
Колибри Дент, стоматологическ...2024-11-04, официальный ответ
Елена! Благодарим за отзыв. Алине Александровне очень приятно услышать такое мнение о ее работе!
Анастасия2024-10-28
В целом мне нравится больница. Во первых дизайн и комфорт, во вторых отличное отношение администрации и врачей, а в третьих качественное и безболезненное лечение. Рекомендую
Колибри Дент, стоматологическ...2024-10-04, официальный ответ
Анастасия, благодарим за отзыв и высокую оценку нашей работы!
Юлия Коробчук2024-10-24
Отличная стоматология ! Сама пришла по рекомендации близких и не пожалела! Большое спасибо Олесе Сергеевне, все доступно объяснили, лечение абсолютно безболезненное! Волшебные руки!
Колибри Дент, стоматологическ...2024-11-25, официальный ответ
Юлия, благодарим за отзыв и высокую оценку работы Олеси Сергеевны!
Елена О.2024-10-19
Прохожу лечение в данной стоматологии, безумно счастлива, что по рекомендации попала именно сюда! Олеся Сергеевна профессионал своего дела, дала рекомендации по уходу за полостью рта, а так же назначила лечение, объяснив, что именно не так и как с этим бороться!) были проблемы с деснами, ставила три укола плазмы, результат заметен после первой процедуры!) прохожу лечение дальше, очень рекомендую!
Колибри Дент, стоматологическ...2024-10-27, официальный ответ
Елена! Благодарим за отзыв и такую подробную обратную связь!
Ирина2024-09-26
Хочу выразить благодарность ортопеду, Павлу Александровичу! Пришла сделать мост, все быстро качественно, терпеливо подбирал цвет, тон все подобрали как надо. Рекомендую врача! Приятная и спокойная атмосфера в клинике, доброжелательный персонал!
Колибри Дент, стоматологическ...2024-10-02, официальный ответ
Ирина Константиновна, спасибо за доверие! Мы очень рады, когда наши пациенты уходят от нас счастливые и довольные!) Берегите себя!
Яна Омельченко2024-09-24
Очень нравится здесь лечить зубы, Олеся Сергеевна вообще волшебница, профи и просто очень хороший человек))буду продолжать здесь лечение) все идеально чисто во всей клинике, царит спокойная атмосфера, играет музыка, что несомненно отвлекает от переживаний, в том числе в самом кабинете телевизор с музыкой , это огромный плюс)
Колибри Дент, стоматологическ...2024-10-06, официальный ответ
Яна, благодарим за отзыв и высокую оценку нашей работы!
Нигина Соибова2024-09-15
Стоматологию нашла совсем недавно, первый раз пришла лечить зуб, попала к Богатовой Олесе Сергеевне, врач с золотыми руками, у меня не было 2 стенки зуба, восстановила как родной, никаких обрушений после лечения и дискомфорта не ощутила) После пришла на гигиену полости рта, всё сделали по высшему разряду, дали рекомендации по уходу) Очень трепетное отношение клиники, вежливый персонал, нигде такого не встречала! Очень рада, что попала именно в эту стоматологию!
Колибри Дент, стоматологическ...2024-09-16, официальный ответ
Нигина, благодарим за отзыв!
Амир Шайдулаев2024-09-12
Спасибо огромное Богатовой Олесе Сергеевне за работу и профессионализм. Всё объяснила открыто и доступно. Работа выполнила качественно. Всем рекомендую, а также благодарность ассистенту Софии Леонидовне. Администратору отдельная благодарность за оперативность и внимание! Буду посещать только данную стоматологию!
Колибри Дент, стоматологическ...2024-09-14, официальный ответ
Амир, благодарим за отзыв!!!
Любовь Азаравичене2024-09-04
Хочу выразить благодарность Павлу Александровичу за его чуткое профессиональное отношение к пациентам, всё очень понравилось. Всем рекомендую. От души огромное спасибо. И выразить благодарность персоналу.
Колибри Дент, стоматологическ...2024-09-07, официальный ответ
Любовь, благодарим за такие теплые слова в адрес наших сотрудников и высокую оценку нашей работы
Никита Ахметжанов2024-08-23
Хотелось бы выразить огромную благодарность всему медицинскому персоналу, а в частности Богатовой Олесе Сергеевне за высокий профессионализм и внимательность! Лечение абсолютно безболезненное, быстрое и безумно аккуратное! Спасибо Вам огромное! В следующий раз обязательно к Вам! Рекомендую
Колибри Дент, стоматологическ...2024-09-11, официальный ответ
Никита, благодарим за отзыв и высокую оценку нашей работы!
Екатерина Зиновьева2024-08-22
Просто лучшая стоматология, если что-то с зубом, то только сюда! До этого была в других, но всегда что-то было не так: то грубые девушки на рецепшене, то врач не называет цену, то вторичный кариес развивается..Здесь же вежливые администраторы, добрые, профессиональные врачи: я была у терапевта - лечила глубокий кариес и пришейку, и у хирурга - вырывала 8-ку, оба врача произвели лучшее впечатление.
Колибри Дент, стоматологическ...2024-08-23, официальный ответ
Екатерина! Благодарим вас за ваш отзыв и высокую оценку!
Сергей Зверьков2024-08-15
Всё просто отлично. Врач просто чудо, все сделала прекрасно!
Колибри Дент, стоматологическ...2024-09-04, официальный ответ
Сергей, благодарим за отзыв и высокую оценку! Рады помочь Вам!
Елена Кузнецова2024-07-29
Была на приеме у Олеси Сергеевны. Считаю, что она очень грамотный, тактичный врач, приятный в общении и лечении. Впредь собираюсь продолжить лечение в этом месте, так как в добавок ко всему, цены здесь приемлемые.
Колибри Дент, стоматологическ...2024-08-01, официальный ответ
Елена! Благодарим Вас за добрые слова о нашей работе и объективный отзыв о нас! Будьте здоровы.
Яна Омельченко2024-07-29
Целый месяц выбирала именно врача,порекомендовали Олесю Сергеевну,как чуткого, доброго доктора, это оказалось действительно так, я как человек тревожный просто в восторге оказалась от отношения как к ребенку буквально, я расслабилась в кресле, чего ранее никогда не было. Быстро, качественно, очень легкая рука. Спасибо.
Колибри Дент, стоматологическ...2024-08-01, официальный ответ
Спасибо, Яна, за теплые слова в адрес наших сотрудников! Мы старались
Анастасия Г2024-07-26
Лечение хорошее, взялись за сложный зуб, и при этом объяснили все подробно, и сразу идут на встречу клиенту, помогают расслабиться перед лечением)
Колибри Дент, стоматологическ...2024-08-01, официальный ответ
Анастасия, спасибо за отзыв и высокую оценку нашей работы.
Данила Ф2024-07-18
Вежливый персонал, хорошее качество услуг
Колибри Дент, стоматологическ...2024-07-21, официальный ответ
Данила, спасибо за отзыв о нашей клинике!
Анастасия Р2024-07-17
Прекрасная клиника! Стоматолог Олеся Сергеевна просто волшебница! Спасибо большое за спокойное и приятное лечение зубов
Колибри Дент, стоматологическ...2024-07-21, официальный ответ
Анастасия! Спасибо большое за добрые слова о нашей работе! Мы рады, что вам всё понравилось!
Дарья Кадочникова2024-07-11
Прихожу не в первый раз и каждый раз ухожу довольна. Очень приятные, отзывчивые, а главное грамотные работники и доступные цены на услуги
Колибри Дент, стоматологическ...2024-07-11, официальный ответ
Дарья! Благодарим, что выбрали нас!!! Спасибо Вам за высокую оценку нашей работы!
Вадим Пелихов2024-07-09
Обратился в клинику после долгих поисков, уже собирался удалить зуб, но, к счастью, порекомендовали Олесю Сергеевну, которая спасла мой зуб. Теперь сам всем рекомендую. В целом очень уютная стоматология, очень чисто, светло, вежливые и приветливые администраторы.
Колибри Дент, стоматологическ...2024-07-13, официальный ответ
Вадим! Спасибо за высокую оценку нашей работы, а также за добрые слова в адрес наших сотрудников!
Екатерина Салахова2024-07-09
Рекомендую врача Богатову Олесю Сергеевну. Полностью доверяю её опыту. Лечит зубы на высочайшем уровне! Очень приятно, что она всё очень подробно объясняет, доступным языком. Если кто-то ищет хорошего стоматолога - советую прийти в Колибри Дент. Приятный бонус, что консультация бесплатная.
Колибри Дент, стоматологическ...2024-07-14, официальный ответ
Екатерина, спасибо за отзыв и высокую оценку. Работаем для Вас, рады были помочь!
Elena Filimonova2024-07-05
Хочу выразить большую благодарность Олесе Сергеевне за работу и профессионализм. Отдельно хочется отметить тактичность, пунктуальность, отсутствие навязывания услуг, очень развернутый ответ на каждый вопрос. Однажды пришла в эту клинику случайно,но понимаю, что теперь не променяю на другую.
Колибри Дент, стоматологическ...2024-07-07, официальный ответ
Elena, спасибо за теплые слова! Были рады вам помочь!

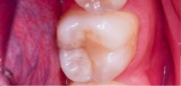
Наши работы

Лечение кариеса

Проблема

Пациент обратился в клинику с жалобами на боли при употреблении холодной и горячей пищи, так же на наличие кариозной полости, застревание пищи в зубе.

Решение

Пациенту проведено лечение кариеса композитным материалом (поставлена пломба).

Будем рады видеть Вас!

Наша клиника расположена в Тракторозаводском районе (ЧТЗ) г. Челябинска по адресу: улица Марченко, 13 А, в пятидесяти метрах от перекрестка улиц Марченко и Салютной, в пешей доступности от остановок общественного транспорта.

Для тех, кто приезжает к нам на собственном автомобиле, предусмотрена бесплатная охраняемая парковка возле входа в клинику, со стороны улицы Салютная.

Челябинск Улица Марченко, 13А — Яндекс Карты